Mariani Orthodontics | Richard C. Mariani, Jr., DDS, MS | Carmen Briceno, DMD, MS
Menu
Facebook
Mariani Orthodontics | Richard C. Mariani, Jr., DDS, MS | Carmen Briceno, DMD, MS
7615 S.W. 62nd Ave. | South Miami, FL 33143
305-665-2402
Office
Meet Dr. Mariani
Meet Dr. Crespi
Our Staff
Office Policies
Financial
Map & Directions
Appointment Request
Office Tour
Testimonials
Patient
First Visit
FAQ
Common Problems
Emergencies
Oral Hygiene
Foods to Avoid
Before & After
Treatment
Early Treatment
Adult Treatment
Types of Braces
Retention
Jaw Surgery
Contact Us
Office
Meet Dr. Mariani
Meet Dr. Crespi
Our Staff
Office Policies
Financial
Map & Directions
Appointment Request
Office Tour
Testimonials
Patient
First Visit
FAQ
Common Problems
Emergencies
Oral Hygiene
Foods to Avoid
Before & After
Treatment
Early Treatment
Adult Treatment
Types of Braces
Retention
Jaw Surgery
Contact Us
Skip Sidebar Navigation
First Visit
FAQ
Common Problems
Emergencies
Oral Hygiene
Foods to Avoid
Before & After
Last item for navigation
Before & After
Photo Gallery
Photo Gallery
Before and After Examples
Photo Gallery
Before and After Examples
Before and After Examples
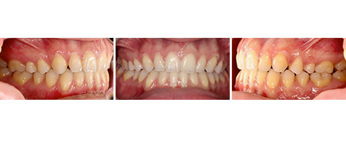
Case 1 Before
Case 1 After
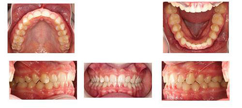
Case 2 Before and After
Case 3 Before
Case 3 After
Case 4 Before
Case 4 After
Case 5 Before
Case 5 After
Case 6 Before
Case 6 After
Case 7 Before
Case 7 After
Case 8 Before
Case 8 After
Case 9 Before
Case 9 After
Case 10 Before
Case 10 After
Case 11 Before
Case 11 After
Case 12 Before
Case 12 After